Zâmbetul
ne recomandă

Pacienții confimă

Reabilitare totala bimaxilara Fast & Fixed BREDENT

Fast and fixed solutia pentru reabilitare totala bimaxilara.
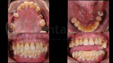
Doamna A. s-a prezentat in clinica noastra fiind nemultumita de 
protezele dentare mobile pe care le detinea, acuzand disconfort in timpul
masticatiei si probleme de natura estetica.
Solutia a fost prin reabilitarea cu ajutorul implanturilor dentare si lucrari fixe
cu incarcare imediata. Cu ajutorul interventiei chirurgicale minim invazive "Flapless" trauma post operatorie a fost redusa, a fost redus timpul intratoperator si am obtinut un rezultat predictibil.
Pacienta se bucura acum de un zambet fermecator si de o noua viata.

Reabilitare orala bimaxilara cu lucrari fixe pe implanturi dentare cu incarcare imediata

Reabilitare orala bimaxilara cu lucrari fixe pe implanturi cu incarcare imediata
conform tehnicii fast and fixed BREDENT. In prima etapa s-a realizat inserarea implanturilor si fixarea lucrarii provizorii iar in a doua etapa s-a realizat lucrarea definitiva.

“Nu numai ca sunt foarte  frumosi noii mei  dinti, dar  ma si simt foarte bine cu ei. Va multumesc si va doresc  mult succes in continuare”                 Dna M.

Reabilitare orala bimaxilara Fast and Fixed BREDENT Germany

Reabilitare bimaxilara cu lucrari fixe cu incarcare imediata Bredent Germany.
6 implanturi la maxilar
4 implanturi la mandibula

Reabilitare orala bimaxilara folosind PROTOCOL 100% DIGITAL lucrari protetice din zirconiu si ceramica Emax

Reabilitare protetica bimaxilara folosind 100% TEHNOLOGIE DIGITALA
AMPRENTARE DIGITALA -> INREGISTRARE 4D A MISCARILOR DE MASTICATIE -> DIGITAL SMILE DESIGN -> CAD CAM
Lucrari protetice din Zirconiu si Ceramica EMAX

REABILITARE ARCADA SUPERIOARA CU IMPLANTURI DENTARE CU INCARCARE IMEDIATA

REABILITARE ARCADA SUPERIOARA  TEHNICA ALL ON 6 
LUCRARE CU INCARCARE IMEDIATA

Reabilitare total? Sky Fast&Fixed Bredent Germany

Fiecare zâmbet ne face ?i mai tineri, încrez?tori în propriile for?e. Dental Alex este echipa care aduce zâmbete pe buze, f?r? bariere! În acest caz, de reabilitare oral? bimaxilar?, am readus încrederea în sine a pacientului, prin inserarea de implanturi, protezarea cu lucr?ri CAD/CAM, echilibrarea for?elor ocluzale pentru transformarea danturii în întregime.

 Etapele acestei schimb?ri au fost:
  1. Consult de specialitate, Investiga?ii 3D, Planificare Digital?;
  2. Etapa Chirurgical?, Implanturi BlueSky Fast&Fixed Bredent, cu lucr?ri provizorii imediate;
  3. M?surarea Stabilit??ii Implantare, Osstell;
  4. Lucrare definitiv? CAD/CAM, Structura Pekkton, Coroni?e Zirconiu FullContour;
  5. Analiza distribuirii for?elor ocluzale în dinamic? 3D T-scan.
 

Reabilitare total? Sky Fast&Fixed Bredent Germany

S? red?m pacien?ilor no?tri dorin?a de a zâmbi este scopul muncii noastre. În urma planific?rii în detaliu ?i a colabor?rii în echip? pentru fiecare etap? de tratament, pacientul din imagini a rec?p?tat zâmbetul pe buze, redobândidu-?i s?n?tatea oral?. Cazurile de transformare profund? au de asemenea un impact deosebit de mare ?i asupra noastr?, ca echip?. Aceste cazuri ne amintesc în fiecare zi c? trebuie s? oferim mereu tot ce avem mai bun.  

Multidisciplinaritate în stomatologia avansat?.

Provoc?rile sunt cele care ne fac profesia ?i mai interesant?. Dep??irea lor îi d? ?i mai mult? satisfac?ie ?i sens.

Multidisciplinaritatea în medicina dentar? dovede?te abilitatea fiec?rei ramuri de specialitate stomatologic? de a depune toate eforturile ?i cuno?tin?ele în aceea?i direc?ie.

În acest caz multidisciplinaritatea a însemnat cheia succesului. Echipa de speciali?ti Dental Alex a lucrat omogen, începând de la planificare digital? pân? la ob?inerea unui rezultat natural.

Pentru acest zâmbet, am avut urm?toarele etape:
  1. consult specializat terapeutic, ortodontic, chirurgical ?i estetic;
  2. investiga?ii ?i planificare digital? 3D;
  3. tratament endodontic;
  4. tratament ortodontic;
  5. etapa chirurgical? ?i de protezare imediat?, cu lucr?ri fixe provizorii;
  6. digital workflow, Scanare digital? 3D, design CAD;
  7. lucr?ri fixe definitive CAD/CAM, structur? Bio-HPP, Coroni?e Zirconiu Full Contur;
  8. Analiza distribuirii for?elor ocluzale în dinamic? 3D T-scan.
?i s? nu uit?m c? succesul fiec?ruia dintre noi este transpus în fericirea noastr?. ?i cum ne ar?t?m fericirea? Zâmbind f?r? bariere...

Rezultate estetice ?i func?ionale prin reabilitare dentar? total?

Suntem în m?sur? s? contribuim semnificativ la sporirea calit??ii vie?ii, indiferent de vârsta pacien?ilor care ne aleg. În acest caz au fost câteva etape pentru redobândirea încrederii de a zâmbi, ob?inând un zâmbet s?n?tos, func?ional, cu un aport semnificativ inclusiv pentru estetica facial?.

Echipa medical? care a realizat aceste schimb?ri a îndeplinit urm?toarele etape de tratament:
  1. Consult de specialitate, Investiga?ii 3D, Planificare Digital?;
  2. M?sur?tori ?i simul?ri digitale pentru stabilirea protocolului chirurgical;
  3. Etapa Chirurgical? de adi?ii osoase ?i de extrac?ie a din?ilor compromi?i;
  4. Inserarea implanturilor dentare cu lucr?ri provizorii imediate
  5. M?surarea Stabilit??ii Implantare, Osstell.

Reabilitare Bimaxilar?

Planificarea Digital?, Precizia ?i Calitatea sunt atuurile cu ajutorul c?rora ajungem la rezultate predictibile ?i mult dorite.

Povestea acestui zâmbet a început în clipa în care pacientul ne-a ales s? fim echipa care s? contribuie la schimbarea mult dorit?. Dup? consultul de specialitate, realizarea investiga?iilor digitale 2D ?i 3D, am conceput planificarea digital? pentru ob?inerea datelor necesare previzualiz?rii 3D a rezultatului, înainte de începerea tratamentului. Ulterior, într-o singur? etap? am realizat interven?ia chirurgical? cu lucr?ri provizorii imediate, pentru asigurarea confortului maxim al pacientului ?i pentru a-i reda func?ionalitatea zâmbetului în aceea?i ?edin??.

Etapa de finalitate a acestui tratament a constat în realizarea de lucr?ri dentare definitive, din zirconiu pentru dobândirea esteticii mult dorite ?i ob?inerea unui zâmbet s?n?tos, func?ional, de durat?.

Bineîn?eles, ne revedem periodic cu pacien?ii care aleg astfel de tratamente, pentru men?inerea etalonului ob?inut ?i pentru cre?terea durabilit??ii rezultatului pe parcursul vie?ii.

Un zâmbet poate s? redea mult mai multe decât ne putem noi imagina.

Protocolul digital implementat în cadrul Clinicilor Dental Alex ne ofer? avantajele de a ob?ine rezultate predictibile, conform a?tept?rilor pacien?ilor no?tri, contribuind masiv la sporirea calit??ii vie?ii lor. Mijloacele tehnologice de ultim? or? ?i supraspecializ?rile echipei medicale sunt atributele cu ajutorul c?rora am facut posibile cazuri precum urm?torul.

Prima etap?, cea a consultului de specialitate este definitorie pentru stabilirea protocolului de tratament ?i a etapelor necesare. Ob?inerea acestui zâmbet a fost posibil? cu ajutorul planific?rii digitale, urmând ca dup? inserarea implanturilor dentare s? realiz?m lucr?ri definitive din zirconiu pentru crearea unui zâmbet armonios, complet func?ional, de durat?.
 

Reabilitare bimaxilar? cu implanturi dentare cu înc?rcare imediat?.

A?tept?rile pacien?ilor no?tri reprezint? linia de sosire a tratamentelor realizate de echipa noastr?. Planificarea digital? dinaintea începerii tratamentului, ne ofer? garan?ia c? rezultatul va corespunde cu ceea ce am conceput.

Astfel, în acest caz de reabilitare bimaxilar?, am planificat un tratament care s? includ? inserarea de implanturi dentare cu înc?rcare imediat?, urmând ca dup? perioada necesar? vindec?rii s? realiz?m lucr?rile definitive. Între timp, pacientul din imagini ?i-a rec?p?tat dorin?a de a zâmbi, func?iile masticatorii fiind restabilite, iar satisfac?ia este pe m?sur?!
Pentru a putea oferi o experienta complexa utilizatorilor nostri, site-ul dentalalex.ro foloseste cookie-uri. Prin continuarea accesarii, se considera ca ati citit, inteles si ati acceptat politica de confidentialitate.